Treatment Options for Dental Internal Resorption Explained

Jan 26, 2026 at 02:30 pm by davidkhalil300


Dental Internal Resorption is a condition that affects the internal structure of a tooth, causing gradual deterioration of the dentin and potentially compromising the tooth’s integrity. While it is not extremely common, it can lead to significant dental issues if left untreated. Understanding the causes, symptoms, and treatment options is crucial for maintaining oral health and preventing tooth loss. In this article, we will explore various treatment options for Dental Internal Resorption and provide essential guidance to ensure effective management.

What is Dental Internal Resorption?

Dental Internal Resorption occurs when the dentin inside a tooth begins to break down due to the activity of specialized cells called odontoclasts. Unlike external resorption, which affects the outer surface of the tooth, internal resorption starts from within the pulp chamber and moves outward. The exact cause is not always clear, but it is often associated with trauma, infection, or chronic inflammation of the tooth pulp.

Early detection is key because Dental Internal Resorption can progress silently, sometimes showing no visible symptoms until significant damage has occurred. Regular dental check-ups and imaging tests, such as X-rays, are vital for identifying the condition before it becomes severe.

Common Causes of Dental Internal Resorption

Several factors can trigger Dental Internal Resorption. These include:

  1. Trauma – Physical injury to a tooth can disrupt the pulp tissue, initiating resorption.

  2. Chronic Infection – Persistent bacterial infections in the tooth pulp may stimulate odontoclasts to break down dentin.

  3. Orthodontic Treatment – Excessive or prolonged pressure from braces may occasionally contribute to internal resorption.

  4. Inflammatory Conditions – Inflammation inside the tooth due to deep cavities or pulpitis can accelerate resorption.

Understanding these causes can help dental professionals create targeted treatment plans, preventing further complications and preserving the natural tooth structure.

Symptoms and Diagnosis of Dental Internal Resorption

Detecting Dental Internal Resorption early can be challenging because the condition often develops without pain or obvious signs. However, certain symptoms may indicate its presence:

  • Slight discoloration of the affected tooth, often pinkish due to vascular changes.

  • Increased sensitivity to temperature changes.

  • Occasional discomfort or mild pain.

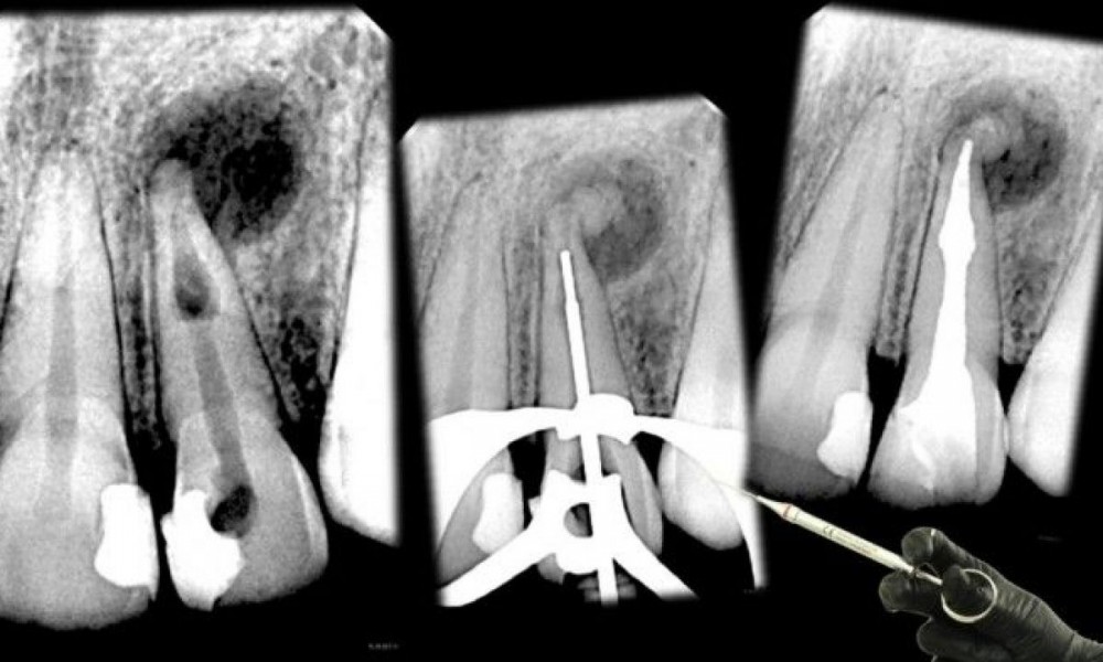
Dental professionals rely on diagnostic tools like dental X-rays and cone beam computed tomography (CBCT) scans to identify the extent of resorption. These imaging techniques help differentiate Dental Internal Resorption from other dental conditions and guide treatment decisions.

Non-Surgical Treatment Options for Dental Internal Resorption

In cases where Dental Internal Resorption is detected early, non-surgical treatments may be effective. The most common approach is root canal therapy, which involves removing the damaged pulp tissue and filling the tooth with a biocompatible material.

Root canal therapy helps stop the resorption process and preserves the tooth’s structural integrity. Additional treatments may include:

  • Medication – Antibiotics or anti-inflammatory agents to control infection and inflammation.

  • Pulp Capping – A protective material is applied to remaining healthy pulp tissue to stimulate healing.

Timely intervention is crucial because once the resorption becomes extensive, non-surgical options may no longer be viable.

Surgical Treatment Options for Advanced Dental Internal Resorption

When Dental Internal Resorption progresses and causes significant damage, surgical intervention may be necessary. Surgical options include:

  1. Apicoectomy – Removal of the tooth’s root tip and surrounding infected tissue to halt resorption.

  2. Tooth Extraction – In severe cases where the tooth cannot be preserved, extraction may be the only viable solution.

  3. Bone Grafting and Implant Placement – After extraction, bone grafting can restore the jaw structure, followed by a dental implant to replace the missing tooth.

Choosing the right surgical approach depends on the tooth’s condition, the extent of resorption, and the patient’s overall oral health.

The Role of Dental Care Tips in Managing Dental Internal Resorption

Proper oral hygiene and preventive practices play a crucial role in managing Dental Internal Resorption. Incorporating Dental Care Tips can help reduce the risk of complications and support treatment outcomes.

Some effective strategies include:

  • Brushing twice daily with fluoride toothpaste.

  • Flossing to remove plaque from areas that brushing cannot reach.

  • Regular dental check-ups to detect early signs of resorption.

  • Avoiding habits that cause tooth trauma, such as chewing hard objects.

Adhering to these Dental Care Tips not only protects against resorption but also promotes overall oral health, enhancing the longevity of natural teeth.

Long-Term Management and Monitoring

After treatment, long-term management is essential to ensure that Dental Internal Resorption does not recur. Dentists typically recommend:

  • Periodic X-rays to monitor treated teeth.

  • Maintaining excellent oral hygiene practices.

  • Using protective dental appliances if teeth are prone to trauma or grinding.

Early intervention and continuous monitoring are vital for preventing further resorption and maintaining dental health over time.

Preventive Measures and Lifestyle Considerations

While some causes of Dental Internal Resorption are unavoidable, certain preventive measures can reduce risk and improve treatment outcomes:

  • Protect teeth during sports or physical activities with mouthguards.

  • Limit sugary foods and beverages that contribute to pulp infections.

  • Address dental trauma promptly to prevent internal damage.

  • Avoid excessive orthodontic pressure without professional guidance.

Combining these preventive steps with professional dental care ensures that Dental Internal Resorption is detected and treated effectively, preserving the health and function of your teeth.

Conclusion

Dental Internal Resorption is a serious dental condition that requires prompt diagnosis and treatment to prevent significant damage or tooth loss. By understanding its causes, recognizing symptoms, and exploring both non-surgical and surgical treatment options, patients can take proactive steps to protect their oral health.

Incorporating Dental Care Tips and maintaining regular dental visits are essential strategies for managing the condition long-term. Early detection, combined with professional care, can successfully halt the progression of Dental Internal Resorption, ensuring that teeth remain strong, functional, and healthy.

If you suspect any symptoms or changes in your teeth, consult a dental professional immediately to explore treatment options tailored to your needs.

Sections: Business